Today I will try to summarize different methods that can be used for pregnancy diagnosis in the bitch and queen.
First of all, we have to remember that the embryo enters uterus on day 5-8. Attachment and maternal recognition occur on days 13-15 in the bitch and days 12-13 in the queen.
Clinical signs
The clinical signs of pregnancy are variable and unreliable. The primiparous bitch might show slight enlargement of teats on days 35 – 45.
Palpation
Abdominal palpation may give the veterinarian several diagnostic information. Segmental dilations can be palpated in the bitch from day 24 – 35 after ovulation and in the cat between day 16 – 26.
On the 3rd week the conceptuses are 15mm, round in shape, firm, well separated from each other. On week 4 they are 25mm, more oval, and on week 5:30-35mm, oval, soft, no separate structures anymore. After day 35 fetal vesicles enlarge and palpation is less accurate. Later on, fetal heads and bodies might be palpated. In large breeds and in bitches with tense abdomen or small litters palpation may be false negative.
Estimation of litter size is not possible. Finally, be careful: palpation needs to be as gentle as possible!
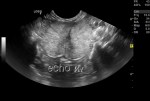
Ultrasound
Ultrasonography is the best method, safe and accurate. It allows the assessment of pregnancy status, and viability of the fetuses.
Gestational sacs are visible as early as day 18-20 after LH peak, but its recommend to examine not before day 21-25 because the small fluid-filled structures may be obscured by intestinal gas earlier.
Fetal heartbeat can be detected from days 16-25 in the queen and from days 23-28 in the bitch. Fetal heart rate should be more than 200 beats per minute as decreasing rate indicates fetal stress. Several ultrasound methods can be used to calculate it.

Estimation of fetal heart rate with Pulsed Wave Doppler
After day 28 in the queen and days 34-36 in the bitch fetal movements are present.
Parturition time can be estimated with measurement of gestational sac diameter, crown-rump length and head diameter.
In contrary with what is believed, ultrasonography is NOT the method of choice for assessment of litter size. Counting number of fetuses is difficult, especially in large litters.

Canine fetus, day 39
Radiography
Enlarged fluid filled uterine horns can be observed by day 21-42 but they cannot be distinguished from that seen with uterine disease, pyometra for example.
First skeletal mineralization occurs by day 42. The degree of fetal mineralization can be used to assess gestational age and predict whelping date.
Radiography is useful more in late pregnancy, when it can be used to identify litter size and fetal size in relation to birth canal.
During the first trimester of pregnancy (organogenesis) there is high risk of radiation damage, but later in gestation this risk is minimal and not greater for fetuses than for the bitch.
Signs of fetal death after 24 hours include presence of gas within or around the fetus and collapse of the axial skeleton.
Hormones
– Relaxin
Is produced by placenta. A serum test is available and can be used from day 24 after ovulation. Estimation of relaxin gives no information about number or viability of the fetuses. The test remains positive for an undetermined time after pregnancy loss occurs. In general, it is not commonly used.
– Progesterone
Progesterone is not indicative! It remains high in all normal dogs during diestrus regardless of breeding status or pregnancy as in the bitch is produced exclusively from corpus luteum. Some studies have documented slight difference in the pattern of progesterone of pregnant and not pregnant bitches but interpretation needs several measurements of serum concentration.
– Prolactin, FSH and estrogen
There are differences in concentrations but not practical to use.
Several other things about pregnancy diagnosis can be written and further analyzed, so if you want we can always come back later!
Thanks for reading! See you soon!